Skip to main content

Tools

Introduction

A tool is an uninstantiated class that implements at least the BaseTool interface. Tools can be configured via their constructor. To use a tool, one must:

  • Add the uninstantiated tool using the library's top level addTool function
  • Add that same tool, by name, to a ToolGroup

Here we will introduce several concepts about tools (annotation and segmentation tools) inside Cornerstone3DTools.

Tools

Manipulation Tools

Cornerstone3DTools provides a set of tools that can be used to manipulate the images in the viewports. These include:

  • enabling zooming in and out of the image (ZoomTool)
  • performing panning and navigation of the image (PanTool)
  • scrolling through the image (StackScrollMouseWheelTool)
  • manipulating the windowLevel of the image (WindowLevelTool)

Annotation Tools

Cornerstone3DTools provide a set of annotation tools. You can use these tools to create and edit annotations for use cases such as:

  • Measuring distance between two points (Length Tool)
  • Measuring width and length for a structure (Bidirectional Tool)
  • Measuring area and statistics for a rectangular area (RectangleRoi Tool)
  • Measuring volume and statistics for a ellipsoid (EllipseRoi Tool)
  • Getting the underlying value for a voxel (Probe Tool)

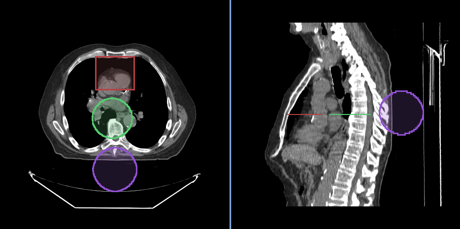
Below, you can see a screenshot of the annotation tools that are available in Cornerstone3DTools.

Dynamic tool statistics

Cornerstone3DTools is capable of calculating dynamic statistics based on the modality of the volume being rendered. For instance, for CT volumes a ProbeTool will give Hounsfield Units and for PET it will calculate SUV stats.

Annotation sharing in Frame of Reference

Since, annotations are stored in the patient physical space, if there are two viewports that are displaying the same frame of reference, they will share the same annotations.

Segmentation Tools

Cornerstone3D also provides segmentation tools. This includes 3D SegmentationDisplay and 3D segmentation editing tools such as brush, rectangle and circle scissors, and 3d sphere tools.

We will discuss in length the different types of segmentation tools and how they are used in Cornerstone3DTools in Segmentation section.

How tools work internally

mouse and keyboard fire events, these events are captured and normalized by Cornerstone3DTools. The normalized events are then fired and handled by tools either as mouseDown, mouseDrag and mouseUp events.

Adding Tools

The Cornerstone3DTools library comes packaged with several common tools. All implement either the BaseTool or AnnotationTool. In order to be able to use the tools, you must first add them to the Cornerstone3DTools. You can do this by using the addTool function.

import * as csTools3d from '@cornerstonejs/tools';

const { PanTool, ProbeTool, ZoomTool, LengthTool } = csTools3d;

csTools3d.addTool(PanTool);
csTools3d.addTool(ZoomTool);
csTools3d.addTool(LengthTool);
csTools3d.addTool(ProbeTool);
warning

Adding a tool to the library will only let the library know about the tool. It will not automatically add the tool to any tool groups, nor will it instantiate the tool for usage.

Tool Modes

Tools (in their toolGroup) can be in one of four modes. Each mode impacts how the tool responds to interactions.

There should never be two active tools with the same binding

Tool ModeDescription
Active
  • Tools with active bindings will respond to interactions
  • If the tool is an annotation tool, click events not over existing annotations will create a new annotation.
Passive (default)
  • If the tool is an annotation tool, if it's handle or line is selected, it can be moved and repositioned.
Enabled
  • The tool will render, but cannot be interacted with.
Disabled
  • The tool will not render. No interaction is possible.
```